Contato Dr Lucas Castro|Endodontista

Dr Lucas B. F. Castro é especialista em endodontia pela FAOA, Faculdade De Odontologia da Associação de Cirurgiões-Dentistas e urgências endodônticas pela USP, Universidade de São Paulo

 

3.jpg

Dor de Dente? 


A dor de dente pode ser um incômodo persistente e afetar sua qualidade de vida. Se você está sofrendo com dor profunda, sensibilidade, inchaço ou qualquer outro sintoma dentário, o tratamento de canal pode ser a solução que você procura.

 

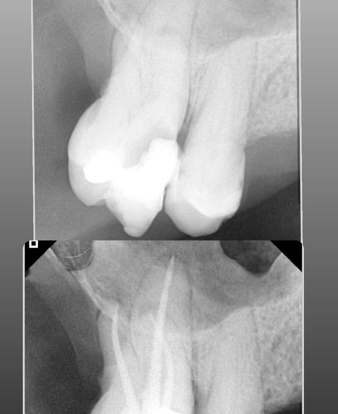
O que é o Tratamento de Canal?

 

O tratamento de canal, também conhecido como endodontia, é um procedimento realizado para remover a polpa dentária infeccionada ou danificada. A polpa é o tecido mole que contém nervos e vasos sanguíneos no interior do dente. O tratamento de canal remove a polpa infectada ou inflamada, limpa o interior do dente e o sela para evitar futuras infecções.

 

Benefícios do Tratamento de Canal:

 

Alívio da Dor
Preservação do Dente
Procedimento Indolor
Tratamento Eficaz
Materiais de Alta Qualidade
Medicamentos Personalizados


Quando o Tratamento de Canal é Necessário?

 

Dor de dente profunda e persistente
Sensibilidade a alimentos quentes ou frios em dente específico
Inchaço na gengiva ao redor do dente afetado
Escurecimento do dente
Abscesso dentário (acúmulo de pus)
Perda óssea visível em radiografias
 

Agende uma consulta para avaliação e descubra se o tratamento de canal é a solução ideal para você. Lembre-se: Quanto mais cedo o problema for tratado, maiores as chances de salvar seu dente e evitar complicações.